お子さんのお口の こんなお悩みありませんか?
- 様子を見ても
大丈夫なのかな… - これって虫歯…?
診てもらえる…? - 歯医者を
嫌がっちゃう… - 何歳から
行けばいいの…? - 歯並びが
気になってきた… - 子どもの歯のケアが
よくわからない… - いつもお口が
ポカンとあいている… - いびき・指しゃぶり
って問題…?
小さなことでも大丈夫!
有山おとなこども歯科なら
このようなお悩みを
解決できます!
気になるお口のお悩み、
まずはお気軽にご相談ください。
お子さま一人ひとりの成長とご希望に合わせ、
さまざまな治療法のなかから、
適切な治療をご提案します。
奈良・生駒・精華町・光台の
子どもの歯の予防・矯正で
当院が選ばれる
5つの理由
お口からはじまる
健やかな成長をサポート
0才からの赤ちゃん歯科
虫歯予防は0歳から。お子さまの口腔機能の発達と将来の健康を見据え、授乳や離乳食の時期からお口の成長を見守り、健やかな発育をトータルでサポートします。

2つの楽しいキッズスペース
「歯医者さんに行きたい!」
につながる医院づくり
お子さまが安心して遊べるキッズスペースを2つ完備。「歯医者さんって楽しい!」と思ってもらえるような、お子さまの目線に立った医院づくりを心がけています。

未来の笑顔を育むトータルケア
口腔ケア&定期検診を
大切にしています
お子さまが生涯にわたって笑顔でいられるよう、治療だけでなく口腔ケアや定期検診を大切に。成長段階に合わせたトータルケアで、お子さまのお口の健康を守ります。

「歯並び、気になるな」と感じたら
お子さまの成長に合わせ、
最適な矯正プランをご提案
お子さまの歯並びが気になる方、まずはご相談ください。成長に合わせて、見た目だけでなく噛み合わせまで考えた無理のない適切な矯正治療プランをご提案します。

バリアフリー設計・駐車場22台完備
お子さまとゆったり通える
地域に根付いた歯医者さん
バリアフリー設計でベビーカーや車椅子の方も安心。広々とした駐車場も22台完備。お子さま連れでもゆったりと通える、奈良・生駒・精華町・光台エリアの根差した家族みんなの歯医者さんです。
お子さまの歯並び、
無料相談受付中!
お子さまの歯やあごの成長は一人ひとり異なるため、矯正治療を始める適切なタイミングや期間、治療法はさまざまです。
矯正を始める前の不安を少しでもやわらげていただけるよう、歯並びの初回相談を無料で承っています。
成長期を味方につけて
「治し」ながら「育てる」
小児矯正には
メリットがたくさん!

費用を抑えられる

治療期間を短くできる

歯を抜かずにすむ

笑顔に
自信がもてる

虫歯や歯周病を
予防できる

歯並びが
後戻りしにくい
成長・症状に合わせて適切な装置をご提案 矯正装置の紹介
子どものための透明なマウスピース型装置 インビザラインファースト
混合歯列期(乳歯と永久歯が混在する時期)のお子さま向けの、透明なマウスピース型矯正装置です。あごの成長を促し、永久歯がきれいに生えそろうための土台を整えます。自分で取り外し、食事や歯磨きを普段どおりに行なえます。
透明で
目立ちにくい
透明な素材を使用しており、装着していても気づかれにくいため、見た目が気になりません。

痛みや違和感が
ほとんどない
なめらかな形状のやわらかい装置で歯を少しずつ動かすため、痛みや違和感がほとんどなく快適です。
多くの症例に
適用可能
成長期のあごや歯の動きを考慮した設計になっているため、さまざまな歯並びの乱れに適応します。
取り外しできて
衛生的
食事や歯磨きの際に取り外せるため、普段どおり食事が楽しめて、お口の中も装置も清潔に保てます。
|
インビザライン・ ファースト |
ワイヤー矯正
|
|
|---|---|---|
| 見た目 |
|
|
| 取り外し |
|
|
| 食事 |
|
粘り気のあるものは控える |
| 歯磨き |
|
|
| 痛み |
|
|
| 自己管理 |
1日20時間以上の装着が必須 |
常に装着されている |
| 適応症例 |
|
|
治療後に「こうなる!」がわかる デジタルシミュレーション
デジタルシミュレーションにより、治療開始前に治療後の歯並びを3D画像で確認できます。歯がどのように動き、どのようにゴールへ向かうのか、具体的な段階と最終的な仕上がりを把握できるため、安心して治療に臨めます。
お口周りの筋肉からアプローチ プレオルソ

取り外し可能なやわらかいマウスピース型の装置で、お口周りの筋肉を整えて舌の位置を正しくすることで、適切な歯並びや噛み合わせへと導きます。発音や呼吸のトレーニング効果があるため、「お口ぽかん」「口呼吸」なども改善できます。

やわらかく
フィットする
シリコン製でやわらかくお口にフィットするので、歯や歯肉にやさしく、痛みや違和感がほとんどありません。
着け外しが
簡単
自分で簡単に着脱でき、食事や歯磨きのときに外せるためストレスがなく、お手入れもスムーズに行なえます。
後戻り
しにくい
筋機能にはたらきかけることで土台から整うため、きれいになった歯並びが安定し、治療後の後戻りを防げます。
プレオルソを使用することで
-
歯ならびの
予防に -
歯ならびの
改善に -
舌癖の
予防に -
お口ポカンの
改善に -
口呼吸から
鼻呼吸へ
学校に持っていく必要は
ありません!
プレオルソは、家にいるとき(約1時間)と
寝るときに使います。
学校では普段通りに
過ごしていただくことができます。
使用するのは…
家にいるとき
(約1時間)
&
寝るとき
あごのスペースを拡大する 拡大床矯正装置
あごが成長する時期のお子さまを対象とした、取り外し可能なマウスピース型の装置です。装置の中心にあるネジを徐々に回して歯列を拡げ、永久歯がきちんと並ぶスペースを確保します。将来抜歯するリスクを減らし、自然な歯並びへと導きます。
悪い歯並びってどんな状態? 不正咬合の種類
-

上顎前突
上の前歯が出ている
-

開咬
前歯が閉じない
-

過蓋咬合
上の歯が
覆い被さっている -

反対咬合
下の歯が上の歯より
出ている -

叢生
あごが狭く
歯並びがガタガタ
インビザラインファーストの 治療の流れ
-

相談・カウンセリング
矯正無料相談受付中
-

各種検査
歯科用CTやデジタルレントゲンで歯と顎の状態、かみ合わせを詳しく調べます。さらに、iTeroという口腔内スキャナーで歯並びをスキャンし、正確なデータを取得します。

-

治療計画の説明・
マウスピースの製作コンピューターで治療計画を作成し、歯の動きや期間、必要な処置についてご説明します。
治療前から治療後までのシミュレーション映像をモニターでご覧いただき、ご納得いただいてからマウスピースを作製します。
-

矯正治療の開始
完成したマウスピースが届いたら矯正治療を開始します。1日20時間以上装着し、2週間ごとにご自身で交換します。治療期間中も定期的に検査に来ていただきます。

-

治療完了、保定・定期検診
治療完了後は、歯の後戻りを防ぐため保定装置を装着します。保定期間中も2~6ヶ月に1回ご来院いただき、経過観察を行います。

矯正費用について
矯正歯科治療の費用は特例を除いて
すべて自費診療です。
※費用はすべて税込表示です。
初回矯正相談
¥0
精密検査
レントゲン撮影、歯型採取、
診査、診断
¥33,000
矯正装置
| インビザライン・ファースト | 550,000円(税込) |
|---|---|
| プレオルソ | 88,000円(税込) |
| 小児床矯正 | 440,000円(税込) |
| 小児2期治療 | 440,000円(税込)~ |
| 保定装置 | 11,000~55,000円(税込) |
調整料
1〜2ヶ月に1回
¥5,500
▼ 一般的な治療期間・回数
【インビザラインファースト】
治療期間:1年6ヵ月~3年、治療回数:18~36回
【小児矯正 1期治療(プレオルソ)】
治療期間:1~2年、治療回数:12~24回
【小児矯正 2期治療】
治療期間:1~3年、治療回数:12~36回
※治療期間・回数は症状や治療の進行状況などにより変化します。あくまで参考程度にお考えいただき、詳細は歯科医師にご確認ください。
お支払い方法
お支払いには、以下をご利用いただけます。
詳しくは当院スタッフにお尋ねください。
- 現金払い
- スルガ銀行
デンタルローン - クレジットカード各種カード会社お取り扱い
デンタルローンお支払い例
デンタルローンのお支払い例のご案内です。
負担を抑えた支払いで安心して治療を受けることができます。
30万円の矯正治療で
ご利用のケース
月々
7,000円
金利2.5% / 支払い回数45回
※ご利用例はあくまで目安であり、ご利用開始日等の条件によりご返済回数・最終返済回数が増減することがあります。
医療費控除をご存知ですか?
1年間で自分やご家族が支払った医療費が10万円を超える場合、医療費控除を受けられます。
小児矯正も、歯本来の機能の回復を目的とした治療であれば、この医療費控除の対象となります。
高額になりがちな矯正費用も、この制度を活用することで負担を大きく減らせる可能性があります。
控除額は医療費や所得によって変わります。詳しい条件や申請方法については、管轄の税務署にご相談ください。
| 課税総所得金額 | 1年間で支払った医療費の総額保険金などで補填される金額がない場合 | ||
|---|---|---|---|
| 30万円 | 100万円 | 200万円 | |
| 軽減される金額 | |||
| 150万円 | ¥30,900 | ¥135,900 | ¥225,000 |
| 300万円 | ¥40,000 | ¥180,000 | ¥337,500 |
| 500万円 | ¥60,000 | ¥270,000 | ¥550,000 |
| 800万円 | ¥66,000 | ¥297,000 | ¥601,500 |
| 1000万円 | ¥86,000 | ¥387,000 | ¥727,000 |
| 2000万円 | ¥100,000 | ¥450,000 | ¥950,000 |
お子さまの学校歯科検診、
8月までに受診を!
学校から持ち帰る歯科検診の結果、気になっていませんか?
毎年、学校では定期的に6月30日までに歯科検診が行なわれます。
もし気になる項目がありましたら、夏休み中の8月までに歯科医院を受診することをおすすめします。
インビザラインファーストの よくあるご質問
どんな歯並びに
効果がありますか?
軽度〜中等度の叢生(ガタガタ)、前歯のすき間(すきっ歯)、出っ歯、反対咬合(受け口)、深い噛み合わせなどが主な適応です。ただし、重度の骨格的な問題がある場合は他の治療が必要なこともあります。最適な治療法を見つけるため、まずはご相談ください。
いつから始めるのが
理想ですか?
開始の目安は6〜10歳頃です。早すぎても遅すぎても難しいため、タイミングがとても大切です。
痛みはありますか?
痛みはほとんどありません。通常のワイヤー矯正に比べて痛みは少ないといわれています。ですが、新しいマウスピースに交換した直後は、歯が動くことによる軽い圧迫感や違和感を覚えることがあります。これも、数日で慣れることがほとんどです。
1日にどのくらい装着
しなければいけませんか?
1日20〜22時間の装着が必要です。食事や歯磨きのとき以外は基本的に装着しておく必要があります。お子様とご家族の協力がとても重要になります。
装着して学校に行けますか?
はい、問題ありません。透明なマウスピースはほとんど目立たず、会話や授業にも支障はありません。つけたまま会話や授業に参加できます。体育や給食の時間は、取り外して大丈夫です。
食事や飲み物、歯磨きは
どうすればいいですか?
食事の前には必ずマウスピースを外してください。食後は歯を磨いてから再装着しましょう。アライナーは噛む力には耐えられないため、装着したままの飲食はNGです。お茶や水など糖分のない飲み物は付けたままで飲んでも大丈夫ですが、ジュースやスポーツドリンクは虫歯のリスクがあるため、外してから飲むようにしてください。
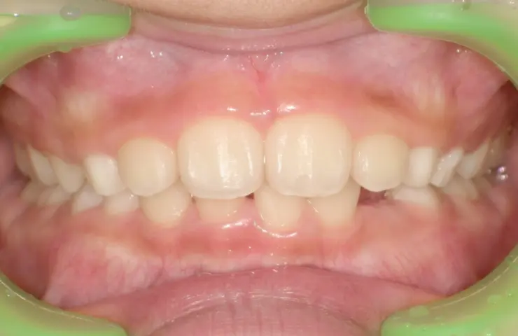
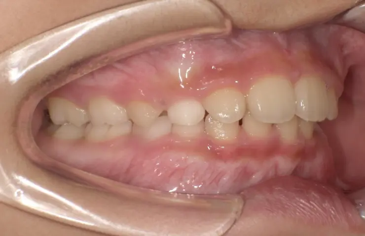
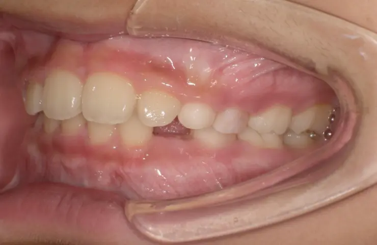
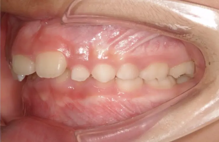
治療症例
医院紹介・アクセス

〒630-0112 奈良県生駒市鹿ノ台東2丁目4番1
「学研奈良登美ヶ丘駅」から車で5分・駐車場22台完備
奈良・生駒・精華町・光台の地域に根差した歯科医院
| 月 | 火 | 水 | 木 | 金 | 土 | 日・祝 | |
|---|---|---|---|---|---|---|---|
| 09:30~13:00 | ● | ● | ● | ★ | ● | ● | / |
| 14:30~18:00 | ● | ● | ● | / | ● | ● | / |
★ 木曜午前:往診
休診日:木曜午後・日曜・祝日
※初診の方は診療時間終了30分前までに受付を行なってください。

















